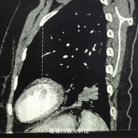
63岁女性患者,因右踝关节骨折住入我院骨伤科,无反复呼吸道感染及咯血病史,无咳嗽、胸痛、消瘦、乏力。入院后常规拍胸片意外发现左下肺心影后团块状高密度影,进一步行胸部CT示左肺下叶基底段团块状软组织密度影,形态不规则,有浅分叶,不除外肿瘤,建议CT引导下肺穿刺活检。内四科姚纲副主任医师会诊后建议行胸部CT增强扫描,用我院64排128层西门子螺旋CT增强扫描示病灶中度强化,三维重建示左下肺病灶由后肋间动脉供血,诊断为肺隔离症(叶内型)。
胸部CT平扫

矢状位增强扫描

轴位增强扫描

注:供血血管见红色箭头所指
肺隔离症(pulmonary sequestration)是一种少见的先天性肺发育异常,发病率为0.15%~6.4%。特点是病变组织不通过正常支气管与中央支气管相通,且接收异常体循环供血。根据隔离肺组织有无独立脏层胸膜,肺隔离症分为叶内型、叶外型和混合型,叶内型约占80%,多位于下叶后基底段,尤其是左下叶,常伴反复感染或咯血。叶内型肺隔离症多由降主动脉(约75%)供血,偶见冠状动脉、胸廓内动脉、肋间动脉、膈动脉等。肺隔离症为临床少见病,由肋间动脉供血的肺隔离症更为少见,极易误诊为肺癌、肺脓肿、肺囊肿等。该患者能及时确诊,得益于我院先进的影像设备及医务人员精湛的业务技术。乱花虽欲迷人眼,难奈惠眼辨真凶,及时明确诊断,既解除了患者及家属的紧张恐惧心理,也避免了患者承受因不必要的肺穿刺活检带来的痛苦及风险。